This injection targets the genicular innervation to the knee which consists of the articular branches of the Common Peroneal, Tibial and Obturator Nerves.
Technique:
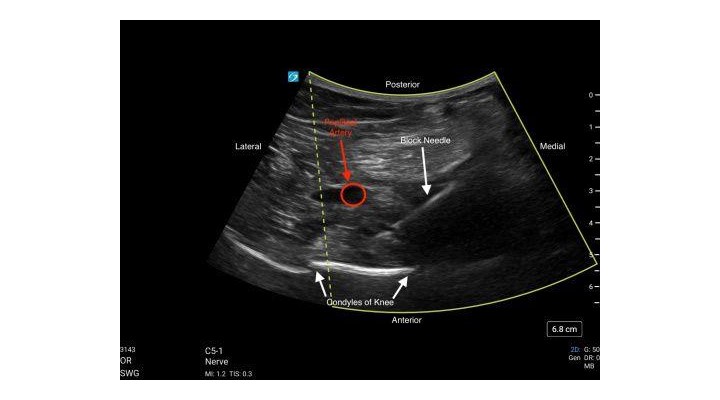
- Begin by placing the ultrasound transducer slightly superior to the flexion line of the posterior aspect of the knee.
- Move the transducer proximally to visualize the popliteal artery and the medial and lateral condyles of the femur.
- If at this level the condyles of the femur are very prominent, the transducer may be moved more proximally where the condyles are less prominent.
- The needle is inserted from medial to lateral using the in-plane approach.
- Injection should occur between the popliteal artery and the femur with local anesthetic spreading both medially and laterally.
Patient Positioning:
Supine with knee flexed 45 degrees and externally rotated.
Transducer:
C5-1, L12-3, L15-4, C10-3
Teaching Points:
- The IPACK Block is a field block of the genicular innervation to the knee.
- The IPACK Block provides a sensory only block of the posterior aspect of the knee which may allow for early postoperative ambulation.
- Correct injection of local anesthetic will often result in the Popliteal Artery being displaced.
- The Common Peroneal and Tibial Nerves can be visualized during the block. The Tibial Nerve is located superficial and lateral to the Popliteal Artery and the Peroneal Nerve is located superficial and lateral to the Tibial Nerve.
- Because of the close proximity of the injection site to the Tibial and Common Peroneal Nerves, the local anesthetic should be injected slowly to avoid blocking these nerves which would result in a motor block, thus delaying postoperative ambulation.
- When imaging the distal femur, do not inject at the level where the femoral condyles are most prominent as this can make needle placement difficult. Instead, reposition the transducer to a level where the condyles are flatter and less prominent allowing for proper needle placement and injection.

